Cases of the week: Surgical Extraction experience for general dentists is rare

You are currently viewing Cases of the week: Surgical Extraction experience for general dentists is rare

Cases of the week: Surgical Extraction experience for general dentists is rare

Surgical extraction experience for general dentists is rare.  Not many dental schools allow students to do surgical extractions – especially if they have any kind of residency associated with the school.  The cases in this post were done in a KCSI Salt Lake City patient-treatment course held to help indigents.  There was no charge to the 50+ patients.

Most were in pain and were not able to get treatment because they lacked money or insurance.  Few dentists take Medicaid and even then, the number of extractions per appointment is very limited. Nearly all the patients needed multiple extractions.

Dentists came in from all around the country to participate in the 3-day surgical extraction training.  Dentists assisted each other but each set of two participant dentists had one experienced instructor including, in this case, an oral and maxillofacial surgeon (DDS, MD).  Reviews for the training/service were good. No sedation but the patients were still very grateful.  This is not like treating 30 patients in Central America with almost no instruction while you perpetuate bad habits and don’t learn anything new.

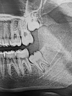
Cases shown are 1) upper and lower arches of bombed-out teeth (included one socket graft using a PGA membrane), 2) erupted thirds, 3) impacted 3rds in a young person.  The PGA membrane is done like a PTFE membrane but does not need to be removed.

This was a “surgical extraction” course but unpredictably had some 3rd molars in the mix.

Check out our Continuum 3 in October. koernercenter.com